Geschützte Gänse geraten ins Visier
Polizei ermittelt wegen Jagdverstößen
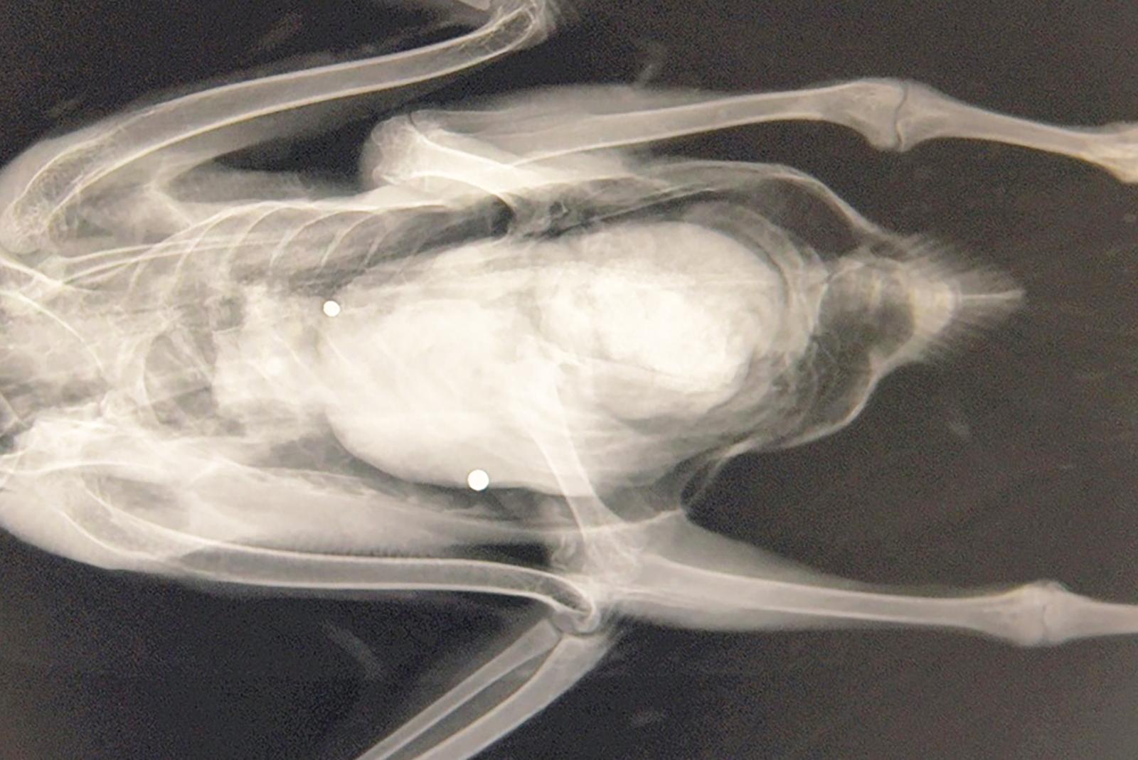
Erneut stehen Jäger im Verdacht, an der Ems geschützte Blässgänse abgeschossen zu haben. »Die Ermittlungen hierzu wurden aufgenommen und dauern an«, teilte Melina Trey, Pressesprecherin der Polizeiinspektion Leer/Emden, auf Anfrage mit. Vogelschützer haben Anzeigen ...
Digital Basis Testmonat
0€
1 Monat 0€
Digital Basis für 1 Monat kostenlos.
Danach kostet das Abo 12,90€ im Monat
monatlich kündbar
Digitale Zeitung
29,90€
29,90€ im Monat
Die digitale 1:1-Zeitungsausgabe
inklusive aller Digital Basis Angebote
monatlich kündbar

